Prediction of Lungs Cancer in Medical Images Using Deep Learning Approach

Prediction of Lungs Cancer in Medical Images Using Deep Learning Approach

Praveen Kumar Pachala* Polaiah Bojja

ECE, Koneru Lakshmaiah Education Foundation, Vaddeswaram 522302, Guntur, India

Koneru Lakshmaiah Education Foundation, Green Fields, Vaddeswaram 522302, Guntur, India

QCDS, Institute of Aeronautical Engineering, Hyderabad 500043, Telangana, India

Corresponding Author Email: 
praveenpachala@gmail.com
Page: 
217-223
|
DOI: 
https://doi.org/10.18280/isi.280125
Received: 
14 December 2022
|
Revised: 
14 January 2023
|
Accepted: 
30 January 2023
|
Available online: 
28 February 2023
| Citation

OPEN ACCESS

Abstract: 

In this advanced and fast-moving world, imaging techniques are the root of any medical diagnosis system. Encroachment in technology and machine learning methods may well aid radiologists in the verdict of tumors without any aggressive measures. CT images are mostly used to identify the deep defection of human being especially for lungs cancer. In this proposed system, we implemented the automatic prediction of lungs cancer in CT images using a new deep learning architecture named as Improved Cross Channel AlexNet (ICCAN). Segmentation of lungs cancer is performed via super pixel segmentation algorithm. This segmentation is used to remove the null regions in the CT images and also retain the features of tumor to make the system of efficient prediction. Once the image is properly segmented then it was categorized using our proposed deep learning network of ICCAN. Our proposed deep network is designed using transfer learning mechanism from the pretrained model of AlexNet. The simulation results are analyzed and compared the performance of proposed system with two different existing algorithms of HMM and SVM classification in terms of Accuracy. We achieved 99% of accuracy and F1-score of 99.74% which is higher than the previous implementations and also time complexity of our system is very low compared with HMM and SVM.

Keywords: 

lungs cancer, deep learning, classification, machine learning, CT image, cancer detection, segmentation

1. Introduction

Lungs cancer is anomalous mass tissue formed by the rapid and unconditional growth of cells in the lung cancer classified as two groups such as primary and metastatic. Primary tumors are originated in brain tissue directly. Metastatic tumors are expanded from other part of body tissue to the brain tissue [1].

Lungs cancer has its large possessions since it is very passage to the main nerve system of the human being. So, every single slight blemish can cost a lot. Due to this cause, it is vital to find approaches of quick detecting or alarming the likelihood of the presence of brain tumor. This importance comes from the fact that early detection increases significantly the possibility of curing the disease and saving the life of patients. Nowadays, the treatments of cancer have significantly established chiefly in the prior stages of contagion. Patients with early detection and treating the disease can have the highest possibility of long living than the people who not have this opportunity [2]. Many methodologies are derived to automatically detect and predict the disease of particular scanned images [3]. Machine learning places the major role in early detection and classification from the Brain MRI images. Many researchers focus on the Image segmentation and usage of artificial intelligence structure [4]. Some works are belonging to the classification of brain images for normal or abnormal [5-7] and other studies are derived for detecting the abnormality of tumor as either benign or malignant [8-11].

Segmentation is a critical component in evaluating and insinuating images. Brain imaging has numerous applications, including lungs cancer categorization, lungs cancer localization, lungs cancer area measurement, blood cell demarcation, surgical planning, and toning. CNN is employed in the study of Acevedo et al. [12] to separate the brain region into a three-dimensional picture. Deep learning framework is used to detect the brain's anatomical edifice [13]. A random field classification technique is used to create an array of visual appearances like as luminance and flexible form modes by combining discrete-Gaussian and higher order sequences such as Markov-Gibbs [14]. Raja [15] develops a hybrid deep auto-encoder with a Bayesian-Fuzzy-Clustering based segmentation process. After denoising the image with a non-local mean filter, a Bayesian-Fuzzy-Clustering method is used to segment lungs cancer in this work. Extensive attempts have been made to develop a highly exact method for lungs cancer categorization using programming. Inter and intra shape, texture, and contrast variations make the system to be complex [16]. The modern machine learning (ML) techniques depend on handcrafted features, which confine the heftiness of the resolution. However, the deep learning-based techniques spontaneously gather evocative features which bidominously improved results [17]. In our proposed we are implementing the deep learning architecture for classification of brain tumor by using CT images. To further enhance the performance of the system we are using super pixel-based segmentation for removal of skull from the brain image. Once the segmented region is obtained, we impose the proposed deep network of Improved Cross Channel AlexNet (ICCAN). In this ICCAN, we are used the transfer learning concept and enrich the pre-trained model of AlexNet specifically for our brain tumor classification process. By integrating the cross-channel normalization in every normalization layer of AlexNet, we can get the increased accurate classification from the network layers. The contributions of our implementation are enumerated as follows:

  1. We designed fully automatic lungs cancer segmentation using super pixel segmentation algorithm to remove the non-lungs cancer regions from the image perfectly.
  2. We modeled new Deep Network using the transfer learning concept from pretrained AlexNet and proposed an improved cross channel AlexNet (ICCAN).
  3. We proposed a novel hybrid classification scheme which consists of two steps: 1) segmentation of brain region, 2) Feature Extraction and classification using ICCAN.
  4. We simulated and analyzed the method for different MRI dataset of images and compare the key performance indices like accuracy, precision, f1-score.

The rest of the paper is organized as follows. Section II is explained for the literature review of related works. Section III deals with the results and discussion to prove our performance will have the better solution than the existing methods of HMM and SVM.

2. Literature Review

This chapter reveals the processing procedures of recent prior works related to the brain tumor classification from CT images. Fully-Automated Homogeneous-Segmentation using SVM called FAHSSVM was proposed by Jia and Chen [18] as a deep learning technique for lungs cancer segmentation. The morphological method is utilized to determine the boundaries of the brain pictures. In morphological operations, only the comparative sequence of the Pixel readings is reconstructed, not their arithmetic significance and hence only binary images can be treated. Texture features are retrieved from the GLCM and categorized using an SVM-based extreme learning machine algorithm (ELM). The SVM algorithm's principal objective is to convert a nonlinear divisive aim to a linear transformation by leveraging a characteristic known as the SVM kernel function. This technique generates rapid experimental findings while ignoring the discriminate aspects of the brain image.

According to Dhanachandra et al. [19], the K-means clustering technique can also be used to segment photos. The mean distance between each data point and its associated cluster centroid determines the clustering quality. It computes the Euclidean distance; thus, modifying the pillar K-means algorithm computes the Euclidean distance among an object as well as its cluster centroid [20]. After eliminating the various forms surrounding the tumor in the previous stage of the bilateral lung cancer image, the lungs cancer stage is determined and used as a criterion for classification by using Fuzzy logic algorithm. Fuzzy Logic training is far too complicated for a large image database.

A unique CNN architecture was published for identifying three different types of lungs cancer from T1-weighted contrast-enhanced magnetic resonance images: meningioma, glioma, and pituitary lungs cancer [21]. To assess the network's performance, four approaches were used: a combination of two 10-fold cross-validation procedures (record-wise and subject-wise) as well as two databases (original and augmented). The first major block, Block A, is a convolutional layer that generates an image that is twice the size of the input image. Following the convolutional layer, an activation layer employing rectified linear units (ReLUs) and a dropout layer are used. Additionally, this block includes the maximum pooling layer that generates an output twice as large as the input. The second segment, Block B, varies from the first only in that it maintains the convolutional layer's input size as the output size. The classification block is made of two fully connected (FC) layers, the first of which mirrors the preceding max pooling layer's flattened output and the second of which has an equal number of hidden units as there are lungs cancer classifications. The input layer, two Blocks A and B, a classification block, and an output layer constitute the entirety of the network architecture; there are a total of 22 layers. Due to the huge number of layers, processing time is excessive, and detection accuracy is lowered without segmentation.

A survey and an efficient review of lungs cancer segmentation principles and classification technique is proposed. This article discusses [22] regarding the classification of lungs cancer is a significant issue in biomedical image processing domain and the annual image segmentation schemes of brain tumors for cancer disease diagnosis from a vast volume of MRI images obtained in ordinary medical care is a time requiring and demanding process. Automated brain tumor image classification is required and this research [22] does an analysis of the main literary works on lungs cancer classification. For segmenting the images, the majority of analysts employed clustering algorithms such as fuzzy based c means and k means clustering logic, while others employed Particle-Swarm-Optimization and CNN algorithms. Each classification technology is designed with the goal of developing an effective and precise structure capable of locating tumors in the shortest amount of period with the greatest degree of precision. While Support-Vector-Machine based classification algorithms are frequently used to determine the correctness of established methodologies [22], other methodologies such as K Nearest Neighbor, k means clustering algorithm and so on are also used as well as various researchers have directly compared such methodologies to determine which one provides the best accuracy.

A paper associated to systematic lungs cancer cells identification scheme using SVM methodology is derived. This article discusses [23] the brain tumor is detected in huge numbers of people each year. While segmenting, detecting, and extracting contaminated areas of lungs cancer from magnetic resonance imaging is critical, when researchers consider the assessment rating, it is difficult owing to mortal mistake. At the moment, semi-automatic and robotic approaches for classification and segmentation are used to circumvent these restrictions. The process of segmentation is accomplished using fuzzy k means clustering logic and Otsu thresholding in the proposed technique [23]. Additionally, brain images are identified using grey level intermediate outcomes and SVM using colour and texture information extracted from the images. The input images are obtained from the publicly accessible TCIA data archives dataset as well as some other brain images from a local diagnostic center with 20 different patients treated.

The simulation results [23] reveal an accuracy of 98.51 percent in classifying normal and abnormal cells using Support Vector Machine.

A paper associated to machine learning-based detection and categorization of LGG and HGG brain tumor is designed. This article discusses [24] gliomas are benign brain tumors that originate within cells in the brain. Gliomas can be considered as low degree (slowly developing) or higher degree (rapid developing). Doctors just use grading of a lung cancerdepending on gliomas to determine the appropriate course of medication for a patient. The state of the lung cancer is critical for treatment. The purpose of this study [24] is to present a computerized system for distinguishing functional brain from aberrant brain with lungs cancer in CT Image data as well as further classifying aberrant brain tumors into LGG or HGG brain tumors. The suggested computerized system [24] employs fuzzy assisted K means segmentation logic for clustering, while the extraction of features and reduction procedures are based on the Discrete Wavelet Transformation and Principal-Component-Analysis. After extracting features and minimization, the SVM logic is a key element of the developed framework [24] since it diagnoses the aberrant brain tumors in the HGG and LGG.

3. Proposed Methodology

The proposed system implementation steps are depicted in Figure 1. For better classification of any image processing, preprocessing is playing major role. In our design, first step is that performing the preprocessing of image such as resizing, channel space verification and correction (Gray Conversion), filtering and enhancement. After this only, we are performing segmentation of pixels into brain and non-brain region segregation. This process is done using super pixel segmentation. Segmentation algorithm provides the result of binary image only. From this binary image we are manipulating it to the pseudo color image which is very useful to provide predominant features by discriminated extraction of meaningful information from the image. Our proposed classification model of ICCAN is doing the double role of feature extraction and classification. Finally, the categorized result of lungs cancer image is obtained as either normal or abnormal. And if abnormal means it is further classified as benign or malignant.

Figure 1. Proposed system block diagram

i. Preprocessing of image

Image pre-processing is defined as the actions on images at the lowest level of intellection. This step may not escalate image data content but it decreases if distortion is an included information quantity. The goal of pre-processing is an upgrading the image pixels that overwhelms unperformed distortions or augments some image structures appropriate for auxiliary processing and investigation task [25]. When the CT image is entered into the processing, first we are converting it to the specified dimension of 256x256 for M, N which is height and width of the image respectively. And image Enhancement is performed to improve the contrast of image for easy computation of pixel segmentation. The enhancement technique saturates the bottom 1% and the top 1% of all pixel values. This operation increases the contrast of the input image and it is called as gamma correction. If the input image is represented as I(x,y), enhanced image is E(x,y) as below,

$\begin{aligned} E(x, y)=L_{l i m}+ & \left(H_{l i m}-L_{l i m}\right)*\left(\left(I(x, y)-L_{i n}\right) /\left(H_{i n}-L_{i n}\right)\right)^\gamma\end{aligned}$     (1)

where, Hlim, Llim are upper and lower limits of output image and it is 1, 0 respectively. Hin, Lin are upper and lower limits of input image and it is 255, 0 respectively. γ is gamma correction factor used to mapping the curve between input and output image which we used as 1 for linear mapping.

ii. Skull removal based on segmentation

a) Super pixel segmentation

Segmentation is complete by separating the image into numerous groups of pixels. It is used to streamline the image which is more informal to scrutinize [26]. SLIC is Simple Linear Iterative Clustering was initiated by [23] and it utilizes the clustering algorithm of K means for the creation of super-pixels.

SLIC makes a local clustering of pixels to form five-dimensional space which are L, a, b values obtained from CIELAB color space conversion and the row of x, column of y pixel coordinates. It is the fastest segmentation method than any existing method [24]. Super-pixels are convened according to spatial and color contiguities of the image pixels. Improved performance of a SLIC segmentation algorithm comes because of virtuous boundary observance [25]. The procedures of SLIC are depicted as below.

The closest center for every pixel (Cxy) is calculated as,

$C_{x y}=C_s+\frac{s_c}{W} m$        (2)

where, Cs is color similarity between each pixel of i, j which is defined as,

$C_s=\sqrt{\left(L_j-L_i\right)^2+\left(a_i-a_j\right)^2+\left(b_i-b_j\right)^2}$        (3)

Sc is space contiguity between each pixel of i, j which is defined as,

$S_c=\sqrt{\left(y_j-y_i\right)^2+\left(x_j-x_i\right)^2}$        (4)

W is ratio between number of pixels P and number of super pixels k as below,

$W=\sqrt{\frac{P}{k}}$        (5)

m is used to assess the virtual prominence between color similarity and spatial contiguity.

b) Optimal thresholding

Thresholding is most common method for simple segmentation of images. However, the choice of threshold is critical for effective segmentation and used the variance and mean as the primary metrics in our work to determine the appropriate threshold for segmenting an image [26]. Inter class variance is computed and used for the threshold value. Hence, as extended as the variance between super pixel clusters is maximized; the probability of classification will be amplified, thus realizing the perfect segmentation of an image. Steps are followed as per the research [26] as,

  • Histogram and probabilities of intensity level is computed.
  • Assigned initial class probability and initial class means.
  • Step through all possible threshold intensity value.
  • Class variances are computed.

c) Region wrapping

Region wrapping is the step of operations which eradicate incorrect boundaries and bogus regions by merging adjacent regions based on the gray value of these regions. Region wrapping is accomplished to group the tumor regions detected together as single layer of region after the thresholding. The complete segmentation results of each stage are illustrated in Figure 2.

(a) Original lungs image

(b) SLIC -Cancer segmented

(c) Optimal Thresholding (Enhanced image)

(d) Region Wrapping-abnormal malignant

Figure 2. Segmentation Results: a) Original Image; b) SLIC; c) Optimal Thresholding; d) Region Wrapping

d) Pseudo color conversion

After the segmentation, the image will be gray. For efficient computation of feature extraction and classification using our proposed model of ICCAN, the image has to be multi-dimensional which is MxNxP, where M is number of rows, N is number of columns and P is number of color spaces.

For gray image P is 1. Hence, we recreated the segmented image to labeled RGB image as pseudo colored image.

iii. Classification of lungs cancer using proposed ICCAN

In this section we provide the detailed description of deep learning network architecture which we designed specifically for brain tumor detection and classification from CT segmented images which is named as Improved Cross Channel AlexNet (ICCAN).

a) Pretrained AlexNet Architecture

AlexNet used for the image classification with subsection of ImageNet dataset with approximately 14 lakhs of images. These images are separated as 12 lakhs images for training, 50,000imagesfor validation, and 150,000 images for testing. The number of classes in all these images is 1000 [27]. The layer architecture of AlexNet is shown in Figure 3.

The first and second convolutional layers are followed by a Max Pooling layer. However, Convolutional layers 3, 4, and 5 are connected in an orderly fashion. Following these five convolutional layers, a Max Pooling Layer is added, which is subsequently interconnected to fully connected layers in a continuous fashion. Each completely connected layer contains 4,096 neurons and the subsequent fully connected layer is coupled to a 1000-class softmax and classification layer.

Figure 3. Structural design of pre-trained AlexNet

b) Improved Cross Channel AlexNet (ICCAN)

The AlexNetis pretrained model for global image classification of 1000 types of images. Extraction of features from these pretrained layers are very discriminant to classify.

Because of this reason only we chosen this pretrained Deep Network to perform our application of lungs cancer classification. The concept of transfer learning is used to make a new and improved version of AlexNet especially for tumor classification as shown in Figure 4.

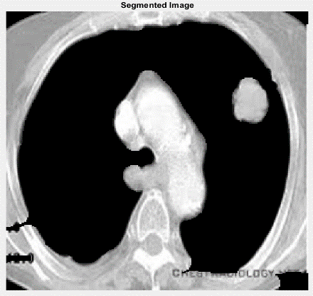
Figure 4. Input image and segmented image

TRAINING of new architecture model of ICCAN is done with three categories of images such as normal lungs cancer, benign lungs cancer and malignant lungs cancer. The architecture of our proposed ICCAN is depicted in Figure 5.

Figure 5. Input image and enhanced image

In this proposed architecture we have designed 30 layers of deep architecture for the entire ICCAN model. Input image layer is defined with the dimension of 256x256x3. Totally six convolutional layers of combination is used in our ICCAN model. First convolution layer is followed by the cross-channel normalization and Rectifier Liner Unit (ReLU). The second convolutional layer is same as first except the ReLU. In this we have used clipped ReLU. By using this layer, we can able to skip the negative values of the convolution process which will increase the possibility of prediction in ROI only. Cross channel normalization is used to integrate all the information in multi-channel input image. For each element x in the input, the software computes a normalized value x' using below equation:

$x^{\prime}=\frac{x}{\left(K+\frac{\alpha * T_S}{W_x}\right)\,\,^\beta}$        (6)

where, K, α, and β are the hyper parameters, Ts is the sum of squares of the elements in the normalization window and Wx is window channel size.

Convolutional layer of 1. Convolutional layer 6 has the transposed convolution layer. To make the system as for rotation invariant we are using this layer. Because the tumor segment from the segmentation algorithm is not always with defined shape. So, it was undefined shape. For this reason, we adopted the transposed convolutional layer into our model. As default it is ended with one max pooling layer. Fully connected layers are used here as for two and two separate purposes. FC1 is to reduce the feature dimension and FC2 for classification of tumor classes which is connected with SoftMax and classification layer.

Using this ICCAN model we are evaluating the brain tumor detection and classification with number of images.

4. Results and Discussion

We are examining the results and performance of our proposed algorithm with some collection of images which has 100 abnormal images and 70 normal images. These images are from the source of Park et al. [25] and Stutz et al. [26]. These images are considered with the dimension of 256 x 256. Out of 100 abnormal images, 40 images are belonging to benign and 60 images are malignant. All these classes of prediction will be taken as predefined label in training function of ICCAN. To prove our system gives the best results, we are comparing our implementation with the two existing algorithms of SVM [23] and HMM [24]. The key performance index which we taken for analysis are Precision, Recall, Error Rate, Accuracy, F-Measure, Correlation, Tumor Size, Time Consumption.

The mathematical expression for these metrics is derived from confusion matrix elements of True positive (TP), True Negative (TN), False Positive (FP) and False Negative (FN) as mentioned below.

Precision $=\frac{T P}{T P+F P}$          (7)

Recall $=\frac{T P}{T P+F N}$         (8)

Accuracy $=\frac{T P+T N}{T P+T N+F P+F N}$          (9)

Error Rate $=1-$ Accuracy          (10)

$F_{\text {measure }}=2 * \frac{\text { Precision } * \text { Recall }}{\text { Precision }+ \text { Recall }}$          (11)

Correlation $=\frac{T P X T N-F P X F N}{\sqrt{(T P+F P)(T P+F N)(T N+F P)(T N+F N)}}$         (12)

Tumor Size $(\%)=\frac{N_T}{T_p} * 100$           (13)

where, NT is the number of pixels in segmented tumor region and Tp is the number of pixels in Total brain region.

In Figure 6, we shown the result of preprocessing stage, in which we used gamma correction-based image enhancement to improve the contrast of original image and that also clearly depicted in the above Figure 6. Next implementation is that segmentation of brainy region means removal of skull content available in the whole image as shown in Figure 7.

Once the gray segmentation output is obtained, we are performing pseudo color transformation using labelling method in morphological operations. This transformation will retain the highly infected regions if any in the segmented lungs cancer area. The output of segmented and pseudo color converted is illustrated in Figure 6.

Figure 6. Segmented image and pseudo color transformed image

Figure 6 shows the final result of lungs cancer detected content the classification results from our proposed method of ICCAN. Figure 7 is shown for the pictorial representation of performance comparison of our proposed with the existing algorithms of researches [28-31]. Table 1 is for numerical comparison.

Figure 6, shows the final result of tumor detected content the classification results from our proposed method of ICCAN.

Figure 7 is shown for the pictorial representation of performance comparison of our proposed with the existing algorithms of Stutz et al. [26, 27]. Table 1 is for numerical comparison the Table 1 is clearly shown that our proposed algorithm is provided the higher results than the existing methods of SVM and HMM. Different segmentation result and lungs cancer size of different category is depicted in Figure 7 below.

Table 1. Numerical results of ICCAN, SVM and HMM

Methods

Metrics

SVM [30]

HMM [31]

Proposed ICCAN

Accuracy (%)

89.80

95.14

99.70

Error Rate (%)

10.19

4.95

0.29

Precision (%)

89.62

94.94

99.50

Recall (%)

89.41

94.74

99.28

Sensitivity (%)

90.07

95.42

100

F-measure (%)

89.85

95.18

99.75

Correlation (%)

89.57

94.87

99.39

Kappa Coefficient (%)

89.50

94.84

99.34

FPR (%)

7.12

1.09

0.71

Time (sec)

7.9075

6.7151

5.9229

Figure 7. Performance comparison of proposed ICCAN and existing SVM, HMM

5. Conclusion

In this work, the Effective and Efficient algorithm of lungs cancer Detection and Classification is designed using our proposed deep network architecture of Improved Cross Channel Normalization (ICCAN). This process is specifically done for CT images of lungs due to the reason of crystal clean facts of the human body capturing. And the segmentation of lungs region by eliminating the skull area from the CT is handled using optimized super pixel segmentation. For any brain image classification process, accuracy fully depends on the proper segmentation result. In our methodology we focused on efficient segmentation result and effective classification. ICCAN is classified the lungs cancer by the characteristics of deep and discriminant feature utilization and classification via hidden neuron layers. Simulations are performed for multiple images and it evaluated with multiple key performance indices such as precision, accuracy, FPR, AUC and Time. The accuracy we achieved is 99.7% which is 6%, 10% higher than the HMM and SVM respectively. For the future implementation we can focus on multistage lungs cancer classification for large dataset and low complex deep architecture.

  References

[1] Popper, H.H. (2016). Progression and metastasis of lung cancer. Cancer and Metastasis Reviews, 35: 75-91. https://doi.org/10.1007/s10555-016-9618-0 

[2] Neal, R.D., Tharmanathan, P., France, B., Din, N.U., Cotton, S., Fallon-Ferguson, J., Hendry, A., Hendry, M., Lewis, R., Macleod, U., Mitchell, E.D., Pickett, M., Rai, T., Shaw, K., Stuart, N., Tørring, M.L., Wilkinson, C., Williams, B., Williams, N., Emery, J. (2015). Is increased time to diagnosis and treatment in symptomatic cancer associated with poorer outcomes? Systematic review. British Journal of Cancer, 112(1): S92-S107. https://doi.org/10.1038/bjc.2015.48

[3] Al-Antari, M.A., Hua, C.H., Bang, J., Lee, S. (2021). Fast deep learning computer-aided diagnosis of COVID-19 based on digital chest x-ray images. Applied Intelligence, 51(5): 2890-2907. https://doi.org/10.1007/s10489-020-02076-6

[4] Krizhevsky, A., Sutskever, I., Hinton, G.E. (2017). Imagenet classification with deep convolutional neural networks. Communications of the ACM, 60(6): 84-90. https://doi.org/10.1145/3065386

[5] Shree, N.V., Kumar, T.N.R. (2018). Identification and classification of brain tumor MRI images with feature extraction using DWT and probabilistic neural network. Brain Informatics, 5(1): 23-30. https://doi.org/10.1007/s40708-017-0075-5

[6] Shenbagarajan, A., Ramalingam, V., Balasubramanian, C., Palanivel, S. (2016). Tumor diagnosis in MRI brain image using ACM segmentation and ANN-LM classification techniques. Indian Journal of Science and Technology, 9(1): 1-12. https://doi.org/10.17485/ijst/2016/v9i1/78766

[7] Selvaraj, H., Selvi, S.T., Selvathi, D., Gewali, L. (2007). Brain MRI slices classification using least squares support vector machine. International Journal of Intelligent Computing in Medical Sciences & Image Processing, 1(1): 21-33. https://doi.org/10.1080/1931308X.2007.10644134

[8] Chuang, W.J., Chung, H.W., Shin, M.J., Lee, M.H., Lee, J.S., Kim, M.J., Lee, W.K. (2014). MRI to differentiate benign from malignant soft-tissue tumours of the extremities: a simplified systematic imaging approach using depth, size and heterogeneity of signal intensity. The British Journal of Radiology, 58(1018): 1333-e960. https://doi.org/10.1259/bjr/27487871

[9] De Schepper, A.M., Ramon, F.A., Degryse, H.R. (1992). Statistical analysis of MRI parameters predicting malignancy in 141 soft tissue masses. Rofo: Fortschritte auf dem Gebiete der Rontgenstrahlen und der Nuklearmedizin, 156(6): 587-591. https://doi.org/10.1055/s-2008-1032948

[10] Berquist, T.H., Ehman, R.L., King, B.F., Hodgman, C.G., Ilstrup, D.M. (1990). Value of MR imaging in differentiating benign from malignant soft-tissue masses: study of 95 lesions. AJR. American Journal of Roentgenology, 155(6): 1251-1255.

[11] Kransdorf, M.J., Jelinek, J.S., Moser Jr, R.P., Utz, J.A., BROWER, A.C., Hudson, T.M., Berrey, B.H. (1989). Soft-tissue masses: diagnosis using MR imaging. American Journal of Roentgenology, 153(3): 541-547. https://doi.org/10.2214/ajr.153.3.541

[12] Acevedo, A., Alférez, S., Merino, A., Puigví, L., Rodellar, J. (2019). Recognition of peripheral blood cell images using convolutional neural networks. Computer Methods and Programs in Biomedicine, 180: 105020. https://doi.org/10.1016/j.cmpb.2019.105020

[13] Richards, B.A., Lillicrap, T.P., Beaudoin, P., et al. (2019). A deep learning framework for neuroscience. Nature Neuroscience, 22(11): 1761-1770. https://doi.org/10.1038/s41593-019-0520-2

[14] Xu, M., Chen, H., Varshney, P.K. (2011). An image fusion approach based on Markov random fields. IEEE Transactions on Geoscience and Remote Sensing, 49(12): 5116-5127. https://doi.org/10.1109/TGRS.2011.2158607

[15] Raja, P.S. (2020). Brain tumor classification using a hybrid deep autoencoder with Bayesian fuzzy clustering-based segmentation approach. Biocybernetics and Biomedical Engineering, 40(1): 440-453. https://doi.org/10.1016/j.bbe.2020.01.006

[16] Medjahed, S.A., Saadi, T.A., Benyettou, A., Ouali, M. (2017). Kernel-based learning and feature selection analysis for cancer diagnosis. Applied Soft Computing, 51: 39-48. https://doi.org/10.1016/j.asoc.2016.12.010

[17] Sarker, I.H. (2021). Deep learning: A comprehensive overview on techniques, taxonomy, applications and research directions. SN Computer Science, 2(6): 420. https://doi.org/10.1007/s42979-021-00815-1

[18] Jia, Z., Chen, D. (2020). Brain tumor identification and classification of MRI images using deep learning techniques. IEEE Access. https://doi.org/10.1109/ACCESS.2020.3016319

[19] Dhanachandra, N., Manglem, K., Chanu, Y.J. (2015). Image segmentation using K -means clustering algorithm and subtractive clustering algorithm. Procedia Computer Science, 54: 764-771. https://doi.org/10.1016/j.procs.2015.06.090

[20] Barakbah, A.R., Kiyoki, Y. (2009). A pillar algorithm for k-means optimization by distance maximization for initial centroid designation. In 2009 IEEE Symposium on Computational Intelligence and Data Mining, pp. 61-68. https://doi.org/10.1109/CIDM.2009.4938630

[21] Irmak, E. (2021). Multi-classification of brain tumor MRI images using deep convolutional neural network with fully optimized framework. Iranian Journal of Science and Technology, Transactions of Electrical Engineering, 45(3): 1015-1036. https://doi.org/10.1007/s40998-021-00426-9

[22] Chauhan, D., Jaiswal, V. (2016). An efficient data mining classification approach for detecting lung cancer disease. In 2016 International Conference on Communication and Electronics Systems (ICCES), pp. 1-8. https://doi.org/10.1109/CESYS.2016.7889872

[23] Nanglia, P., Kumar, S., Mahajan, A.N., Singh, P., Rathee, D. (2021). A hybrid algorithm for lung cancer classification using SVM and Neural Networks. ICT Express, 7(3): 335-341. https://doi.org/10.1016/j.icte.2020.06.007

[24] Polly, F.P., Shil, S.K., Hossain, M.A., Ayman, A., Jang, Y.M. (2018). Detection and classification of HGG and LGG brain tumor using machine learning. In 2018 International Conference on Information Networking (ICOIN), pp. 813-817. https://doi.org/10.1109/ICOIN.2018.8343231

[25] Park, K., Chae, M., Cho, J.H. (2021). Image pre-processing method of machine learning for edge detection with image signal processor enhancement. Micromachines, 12(1): 73. https://doi.org/10.3390/mi12010073

[26] Stutz, D., Hermans, A., Leibe, B. (2018). Superpixels: An evaluation of the state-of-the-art. Computer Vision and Image Understanding, 166: 1-27. https://doi.org/10.1016/j.cviu.2017.03.007

[27] Keerthana, D., Venugopal, V., Nath, M.K., Mishra, M. (2023). Hybrid convolutional neural networks with SVM classifier for classification of skin cancer. Biomedical Engineering Advances, 5: 100069. https://doi.org/10.1016/j.bea.2022.100069

[28] Acquarelli, J., van Laarhoven, T., Postma, G.J., Jansen, J.J., Rijpma, A., van Asten, S., Heerschap, A., Buydens, L.M.C., Marchiori, E. (2022). Convolutional neural networks to predict brain tumor grades and Alzheimer’s disease with MR spectroscopic imaging data. Plos One, 17(8): e0268881. https://doi.org/10.1371/journal.pone.0268881

[29] Young, G.O., Peters, J. (1964). Synthetic Structure of Industrial Plastics (Book Style with Paper Title and Editor), vol. 3, Peters, J., Ed. New York: McGraw-Hill, pp. 15-64.

[30] Shabu, S.J., Jayakumar, C. (2020). Brain tumor classification with MRI brain images using 2-level GLCM features and sparse representation based segmentation. In 2020 3rd International Conference on Intelligent Sustainable Systems (ICISS), pp. 793-799. https://doi.org/10.1109/ICISS49785.2020.9315971

[31] Venkatesh, C., Bojja, P. (2022). A dynamic optimization and deep learning technique for detection of lung cancer in CT images and data access through Internet of Things. Wireless Personal Communications, 125(3): 2621-2646. https://doi.org/10.1007/s11277-022-09676-0